whatsapp
Haga su consulta
Envíanos un mensaje de WhatsApp


ESPECIALIDADES


01
Especialidad

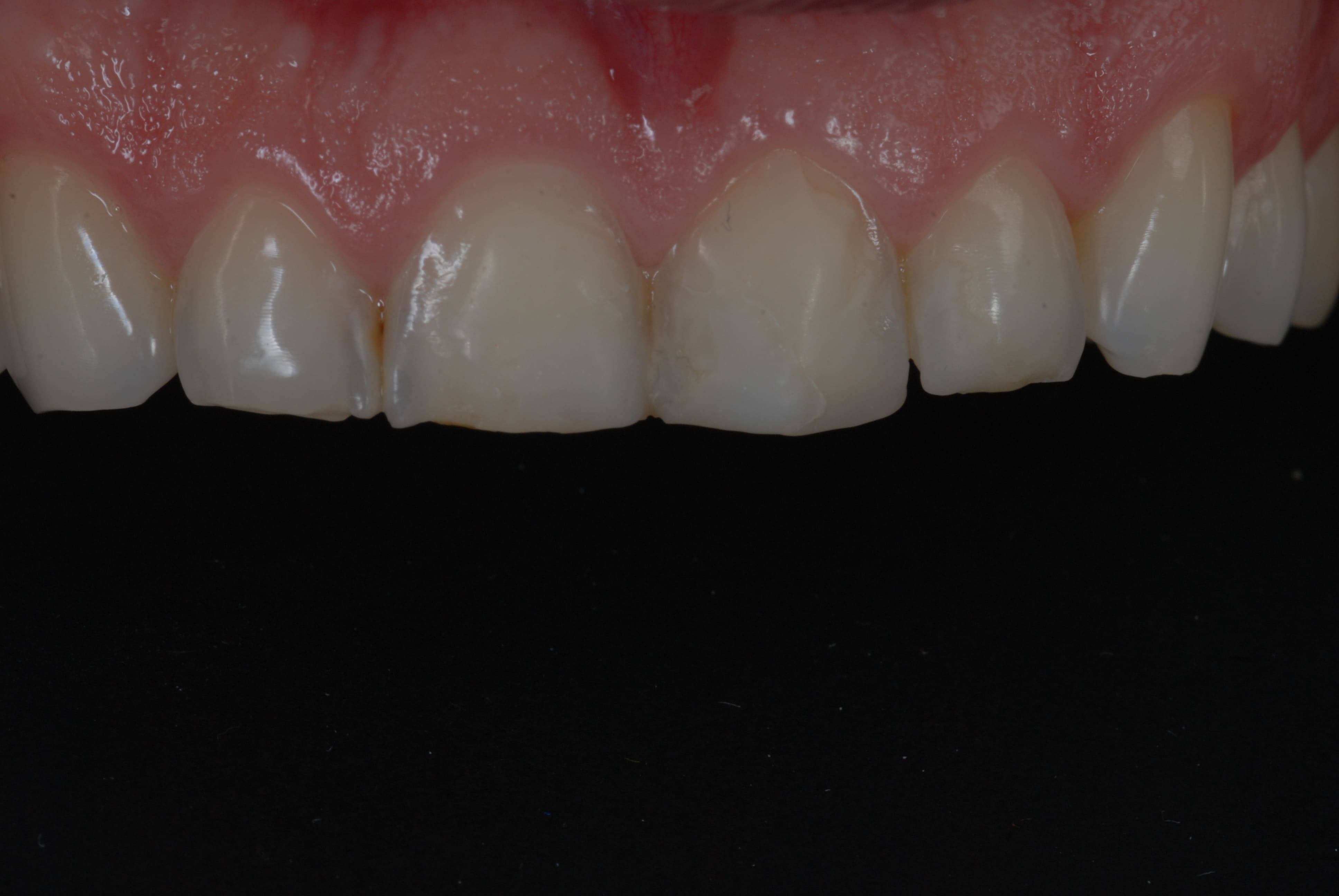
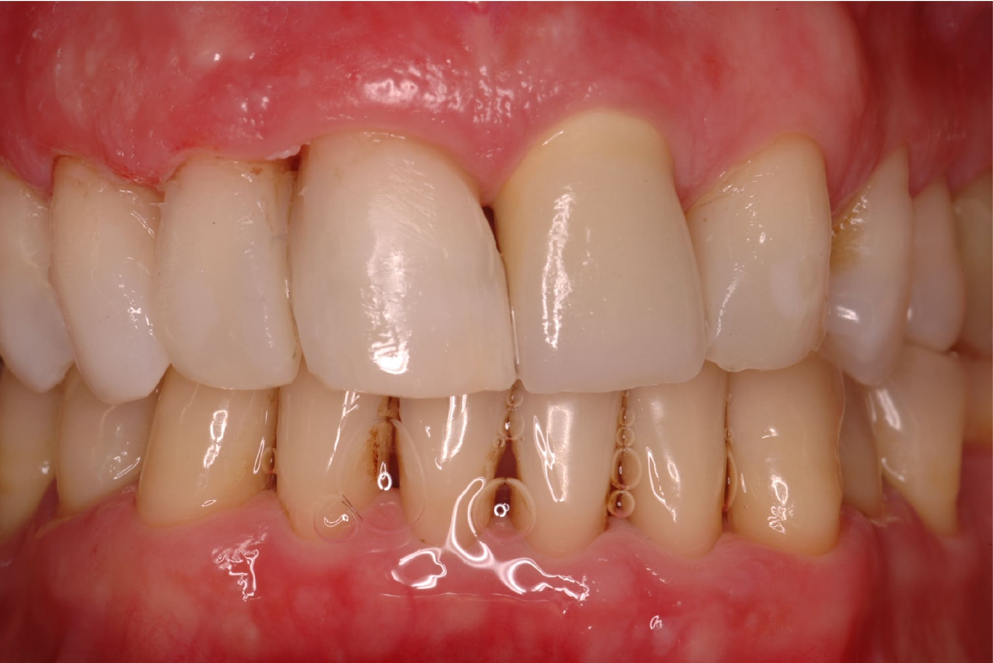
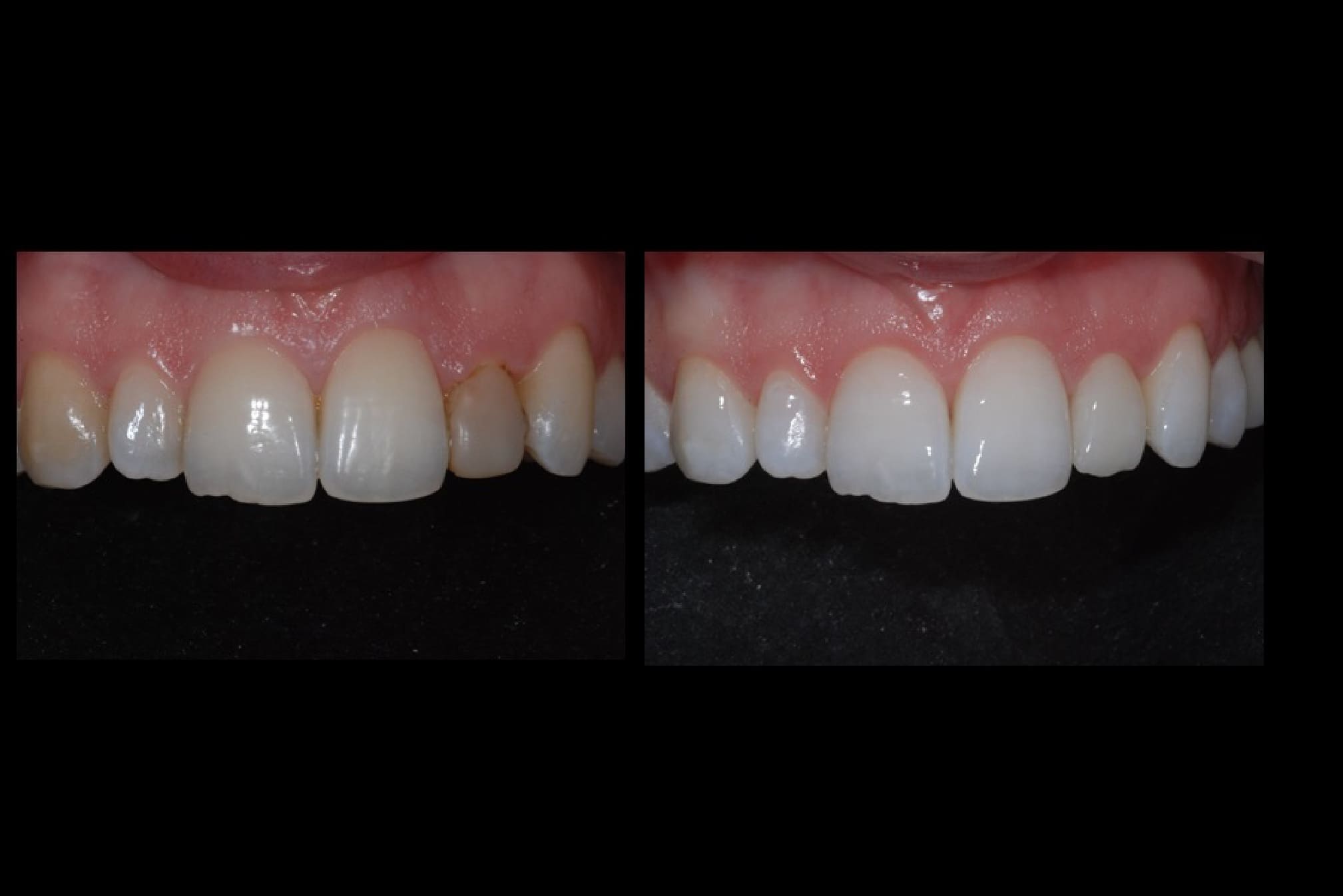
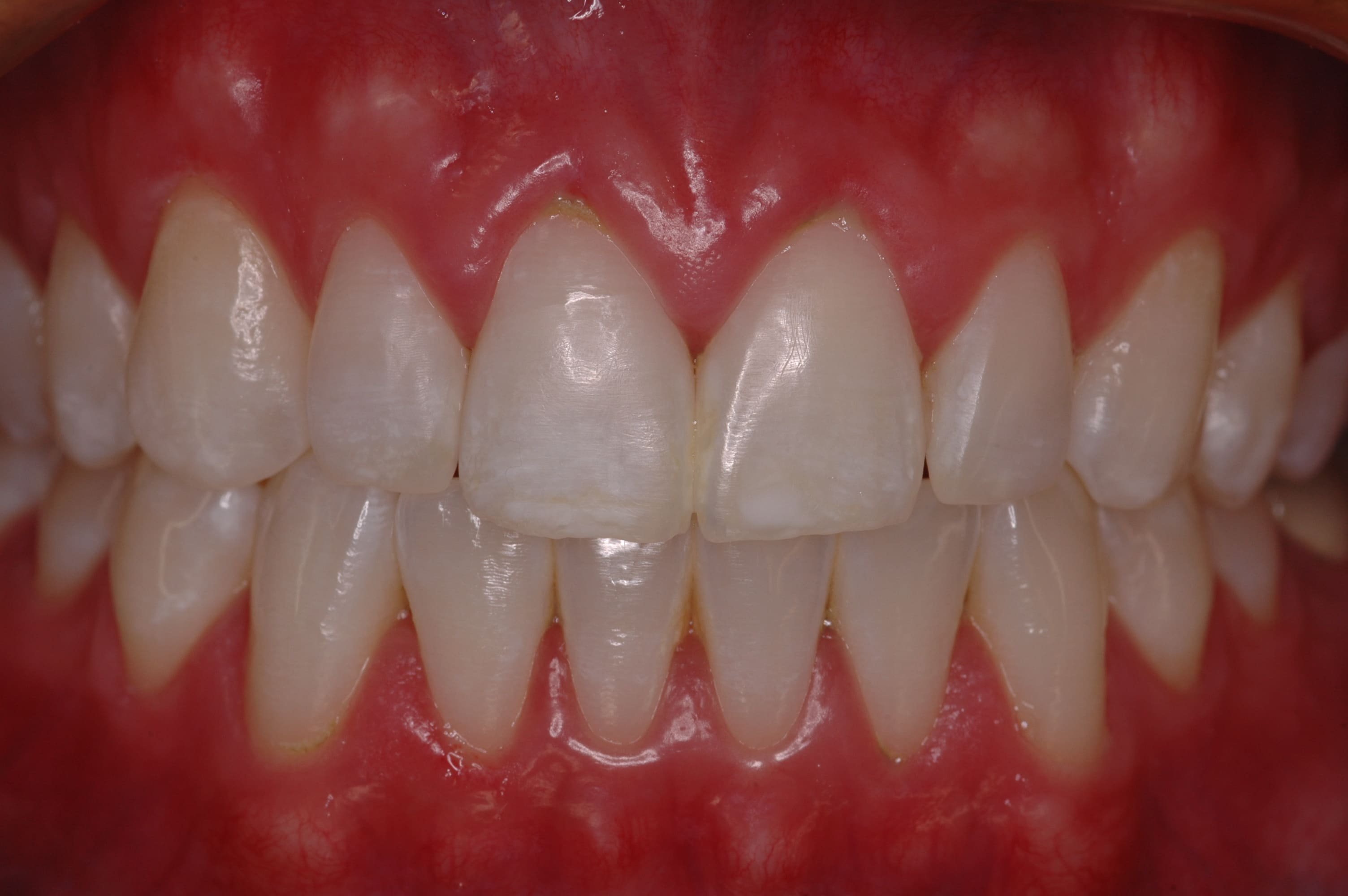
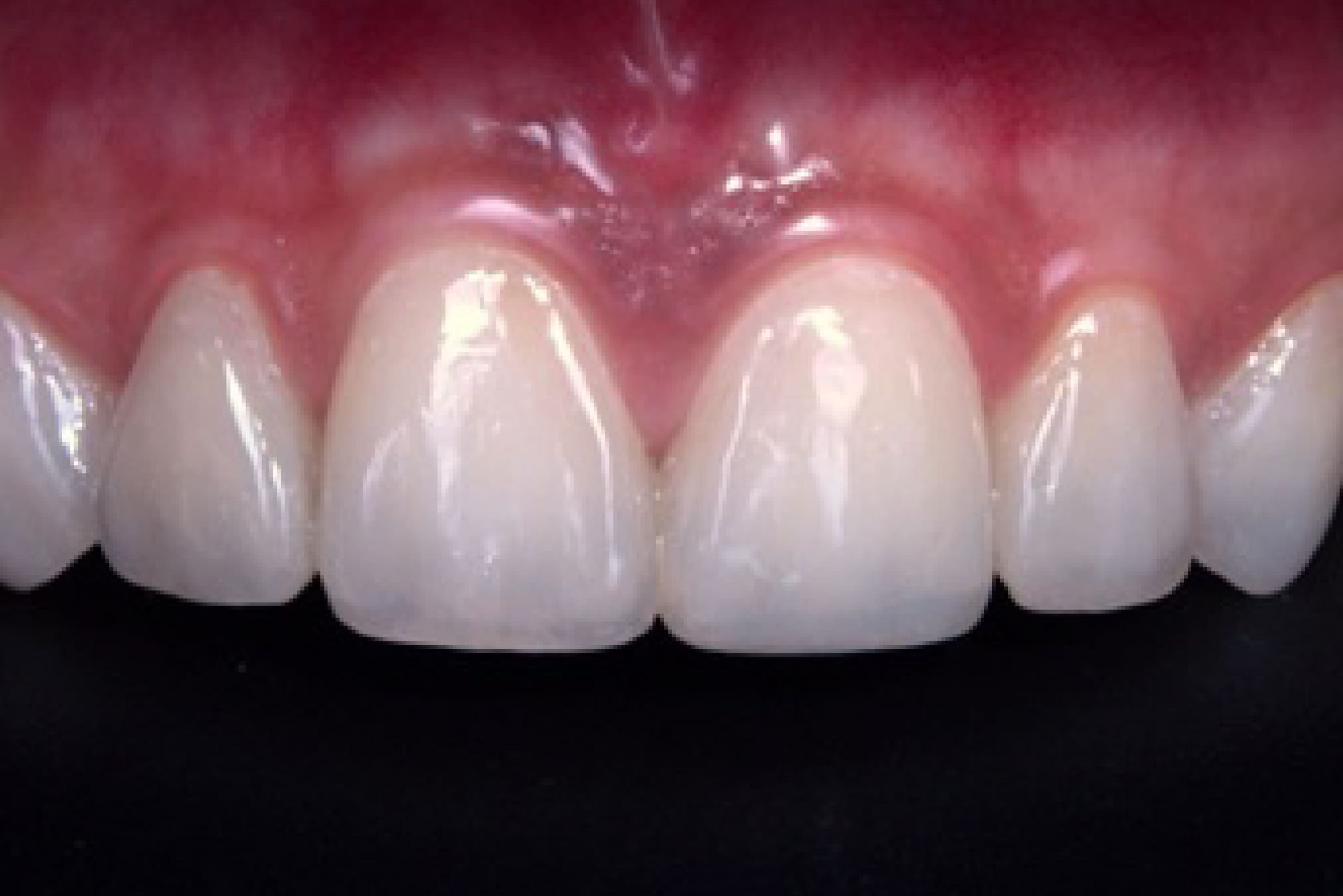
Estética dental

La odontología estética o cosmética es una especialidad de la odontología que soluciona problemas
relacionados con la salud bucal y la armonía estética de la boca en su totalidad.

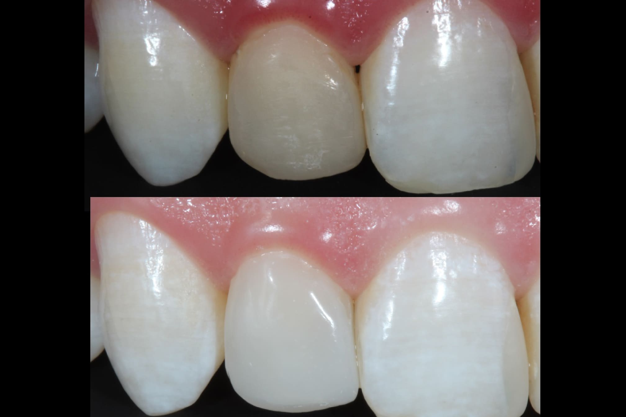
Blanqueamiento

Disponemos de la ultima tecnología en Blanqueamiento dental con el sistema Philips Zoom que permite aclarar 6 tonos en una sesión sin sensibilidad, sin calor y con técnicas súper cuidadas no invasivas.

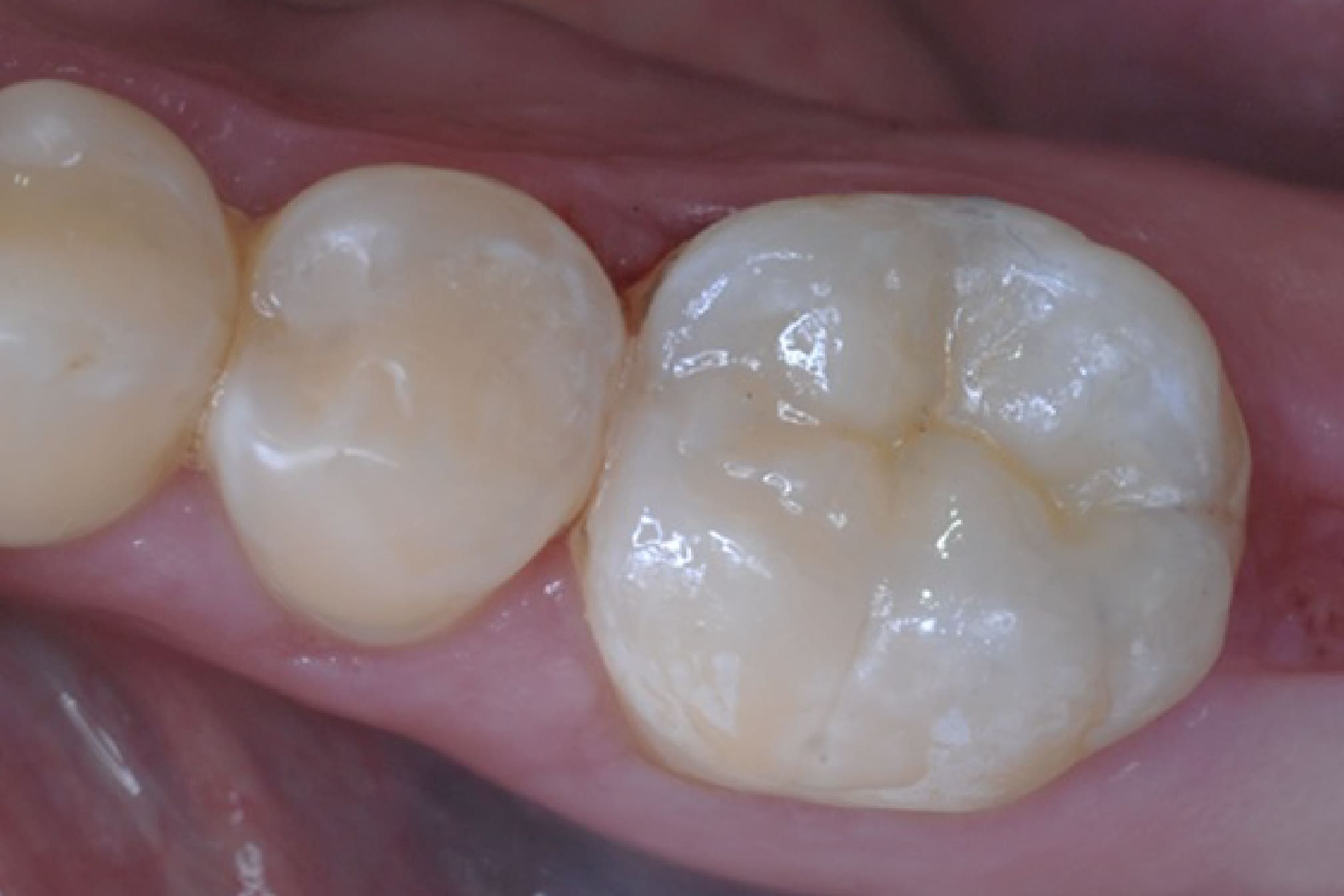
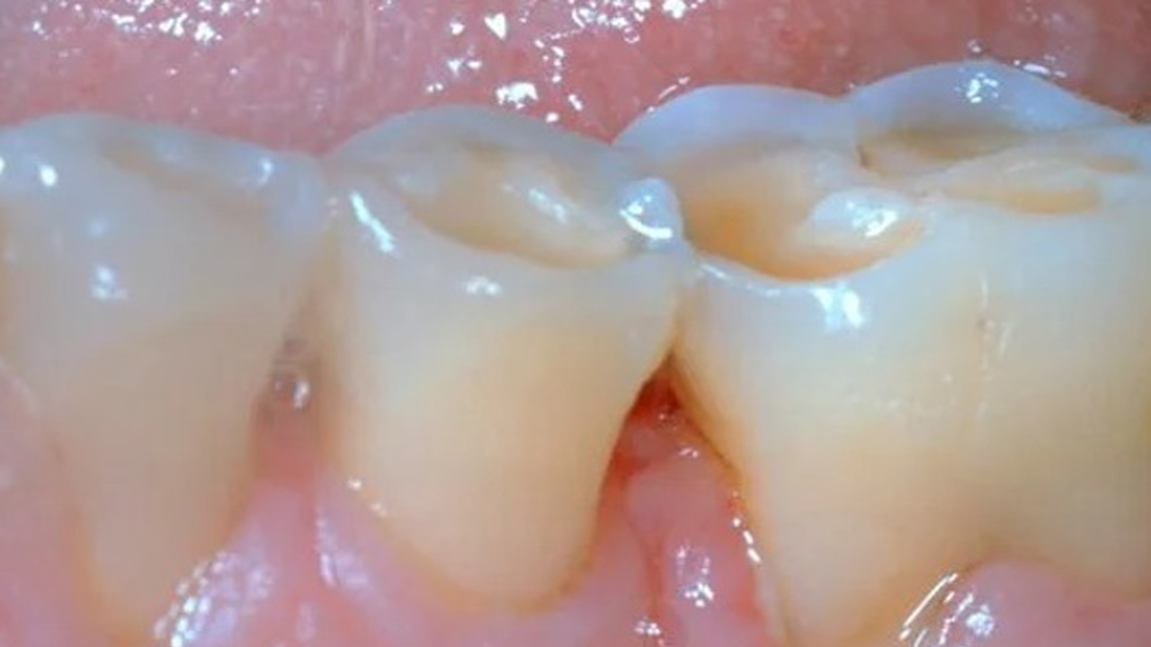
Resinas Estéticas

Las resinas dentales son utilizadas para corregir grietas o mejorar dientes dañados o cariados. Constituyen una restauración estética para los dientes.

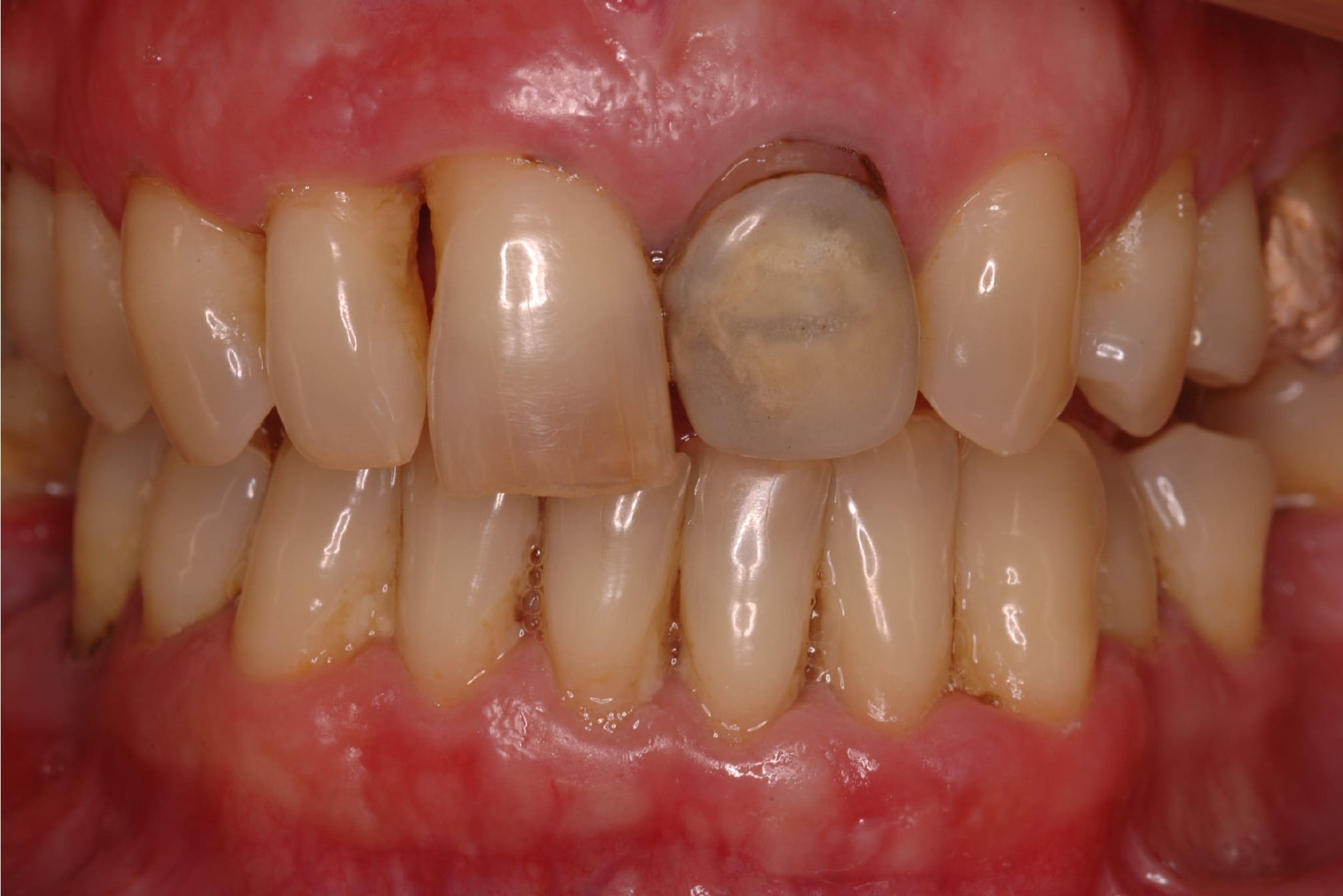
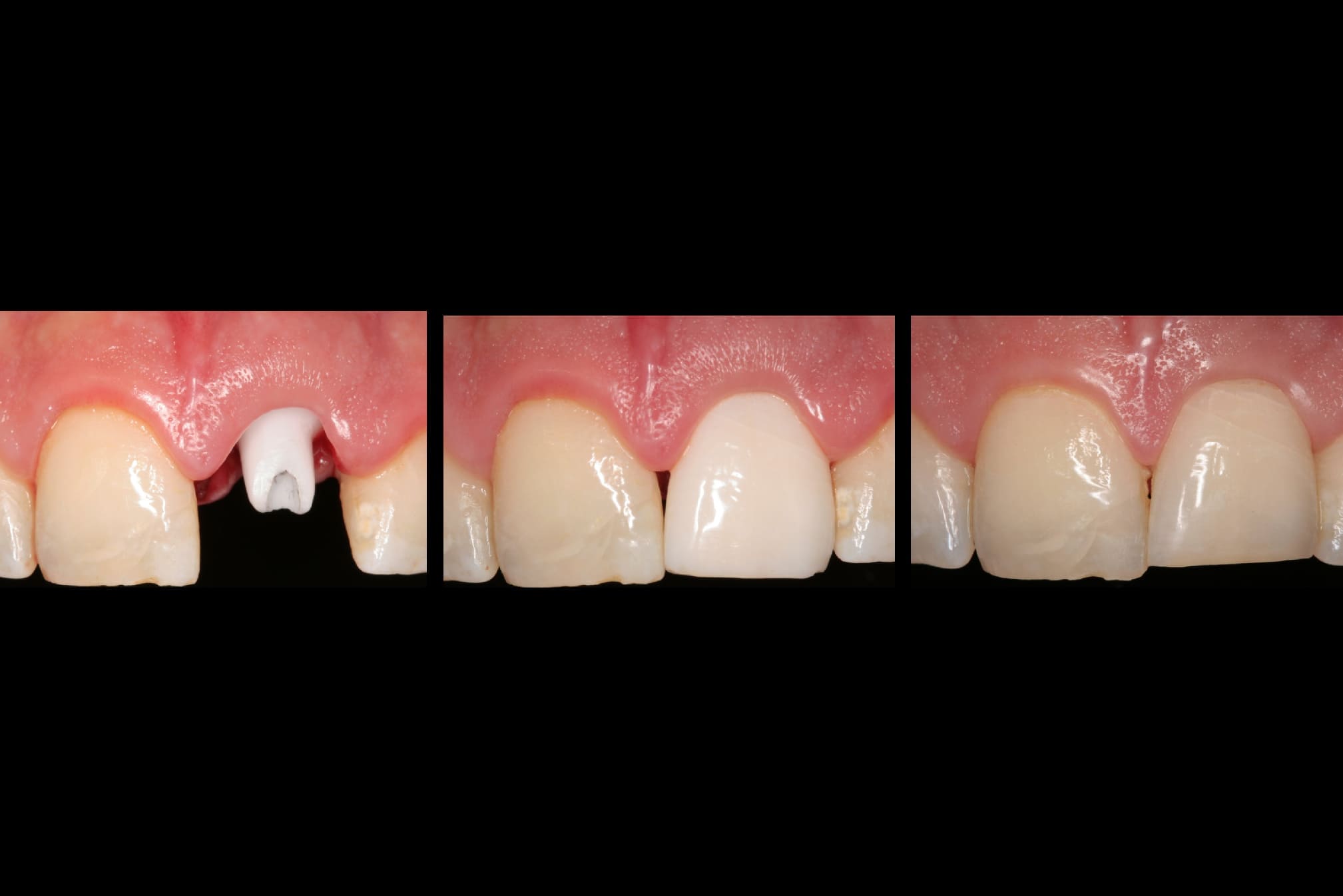
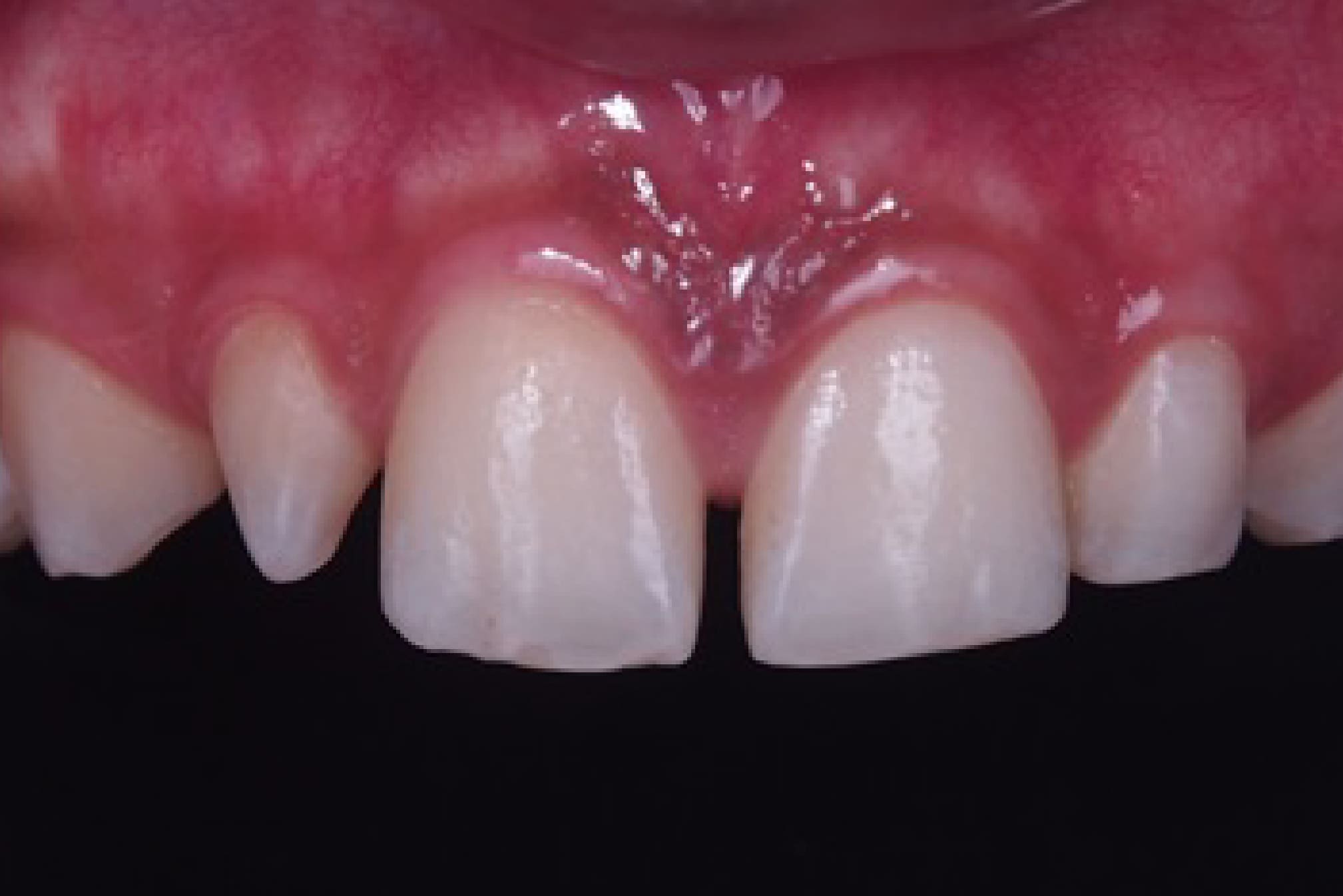
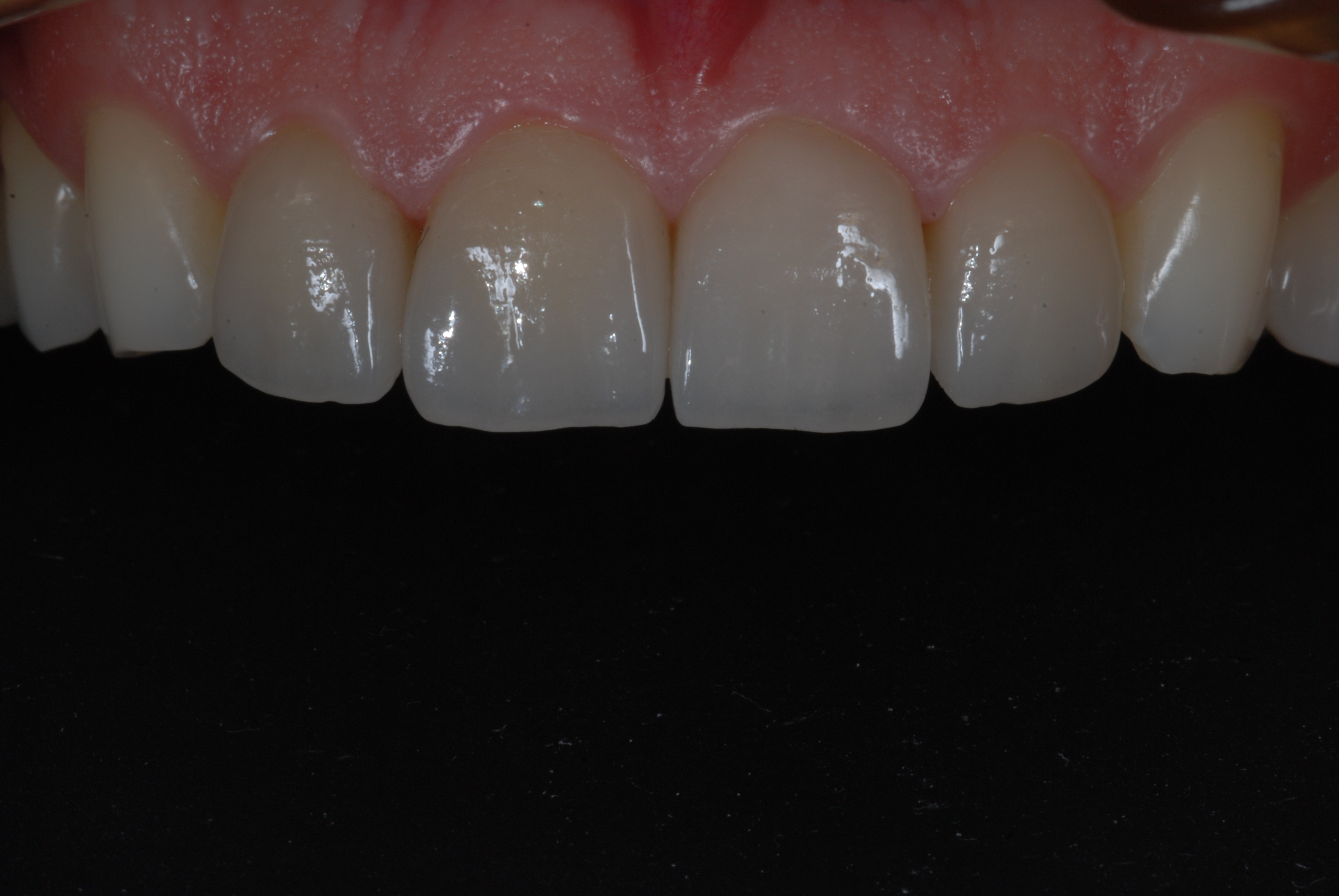
Carillas

Con el uso de las carillas de porcelana es posible modificar el aspecto de la sonrisa gracias a la posibilidad de modificación de la forma y posición de los dientes.

Prótesis con circonio

Las prótesis de circonio son las prótesis de mayor calidad estética en materia dental. Poseen una gran resistencia y un color blanco totalmente natural.

02
Especialidad

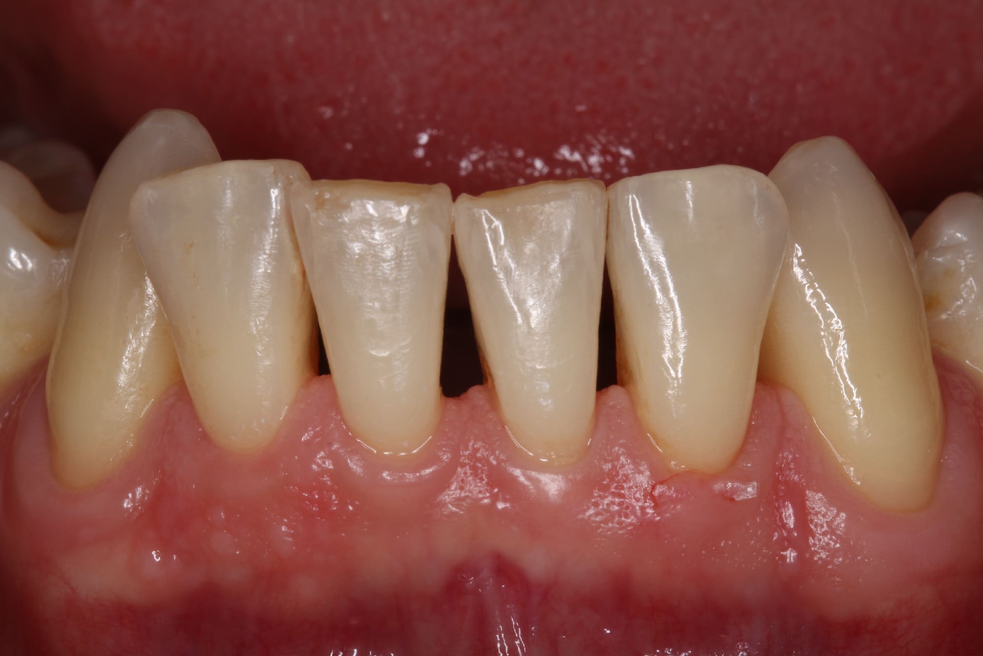
Rehabilitación

La rehabilitación oral es la parte de la Odontología encargada de la restauración; es decir, devuelve la función estética
y armonía oral mediante prótesis dentales de perdidas de dientes, grandes destrucciones o de solucionar
problemas estéticos, siempre buscando una oclusión y función correcta.

Prótesis conservadoras

La odontología Rehabilitadora conservadora permite preservar la mayor cantidad de piezas dentales y tejidos para que se pueda restaurar la función y la estética de una forma mínimamente invasiva.

Implantes oseointegrados

Los implantes oseointegrados son instalados en el hueso y sustituyen la raíz de un diente faltante. Luego de su colocación, y una vez cicatrizado, se coloca a continuación el diente.

03
Especialidad

Ortodoncia

La ortodoncia es una especialidad de la odontología que se encarga de todo el estudio, prevención, diagnóstico y tratamiento
de las anomalías de forma, posición, relación y función de las estructuras dentomaxilofaciales. Su ejercicio es el
arte de prevenir, diagnosticar y corregir sus posibles alteraciones y mantenerlas dentro de un estado óptimo de salud y
armonía mediante el uso y control de diferentes tipos de fuerzas. Trabajamos con todas las variables y
sistemas de Ortodoncia, brackets metálicos , estéticos, de zafiro, ortodoncia interna o lingual, Ortopedia removible y
los nuevos alineadores estéticos. Disponemos convenios con los sistemas mas importantes a nivel mundial y nacional .

Brackets

Ofrecemos las siguientes soluciones a la mala ubicación de los dientes de nuestros pacientes:
Sistemas con Brackets estéticos / Técnicas innovadoras (Arco Recto) Ortopedia: Aparatología removible y funcionales. Apartología fija: brackets metálicos y estéticos para adultos y niños con técnicas de Arco Recto y Damon.

04
Especialidad

Endodoncia

Se llama endodoncia, de endo (interior) y odontos (diente), a un tipo de tratamiento que se realiza en odontología.
Consiste en la extirpación de la pulpa dental y el posterior relleno y sellado de la cavidad pulpar con un material inerte.
Disponemos de la ultima tecnología para el tratamiento de conductos. Radiovisiografo (radiografias digitales),
sistemas mecanizados, localizadores apicales, etc

Tratamiento de conducto

En nuestros consultorios utilizamos las más avanzadas técnicas de tratamiento de conductos con sistemas rotatorios.

05
Especialidad

Radiología digital

Disponemos del sistema de radiografías digitales Gendex y Trofy que permiten
obtener imágenes en menos de 1 sgs. con una calidad y definición increíble.
Además, con este sistema se minimiza la exposición a la radiación a
0,005 mSv ( millisievert (mSv), que equivale a 1400 veces
menos de radiación que una radiografía de tórax.

06
Especialidad

Patología del sueño

El ronquido, ese sonido intenso que se produce cuando las vías aéreas se obstruyen parcialmente al dormir, es una condición que tiene del orden del 60% de la población adulta del país y puede ser indicio de enfermedades graves como la Apnea del Sueño, síndrome caracterizado por períodos donde la respiración se detiene parcial o totalmente y que afectaría al 10% de la población. Se describe con la sigla SAHOS ( Síndrome De apnea e Hipopnea obstructiva del sueño ) en inglés es OSA ( Obstructive sleep apnea ) De acuerdo a su riesgo de vida se clasifican en 3 categorías : Medio de 5 a 15 AHI , Moderadas de 15 a 30 AHI y severas mas de 30 AHI ( la sigla AHI significa número de Apneas o Hipopneas por hora de sueño )

Placas o dispositivos antirronquidos

La placa se utiliza para dormir y nos permite reubicar la mandíbula levemente hacia adelante para descomprimir la zona de la garganta y de las articulaciones.

07
Especialidad

Bruxismo

El bruxismo, comúnmente conocido como rechinamiento de los dientes, genera dolencias como dolor facial, desgaste excesivo de los dientes, migrañas, hipertonía de los músculos de la masticación (aumento de tensión muscular).

¿Qué es una placa de bruxismo?

Una placa de bruxismo es un dispositivo transparente que se coloca en la boca (generalmente en la arcada superior) y está fabricado con un material duro y rígido, lo que impide poder apretar los dientes.

Tratamiento médico del Bruxismo con Xeomin

Tratamiento Médico del Bruxismo con (Xeomin)

La dosis exacta y el número de sitios de inyección es adaptado a cada paciente, basado en la fuerza muscular del MASETERO y el grado de molestia complicaciones de la paciente.
Evita los siguientes problemas:
-Desgaste del esmalte dentario.
-Aumento de la sensibilidad dental por exposición de la dentina.
-Cefalea.
-Dolor crónico.
- Disfunción de las articulaciones.
Beneficios del tratamiento:
-Mejora absoluta de síntomas.
-Al relajar el músculo se afina el tercio inferior del rostro, dando una apariencia adelgazada.
Este procedimiento toma pocos minutos, se obtienen excelentes beneficios y resuelve-previene grandes complicaciones.